Pen Stuck in Woman’s Stomach for 25 Years

Doctors in the United Kingdom removed a pen from an unidentified woman’s stomach that had been there for more than 25 years. And yet, when we’re looking for one, they’re nowhere to be found.

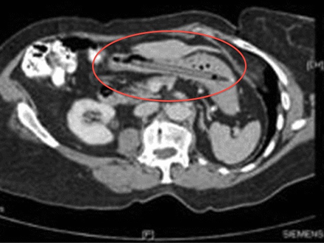
Pen Stuck in Woman’s Stomach for 25 Years

Source: BMJ Case Evidence

The 76-year-old woman went to an emergency room for diarrhea and unexplained weight loss and a CT-scan found the strange cause, according to the British Medical Journal.

How did this poor woman swallow a pen? Apparently, she had used a pen to check a spot on her tonsils when the wily writing instrument slipped out of her hands and down her throat. She went to a doctor, but the X-ray didn’t locate the foreign object or believe her story. So it stayed there for more than two decades without causing any symptoms until now.

A recent X-ray of the woman’s stomach confirmed her original story. It should also be noted that the pen still writes. Remember that next time your at the gas station or bank. Where has this pen been?

X-ray of the woman’s stomach

BMJ Case Evidence

This awesome story provided by the FW.

Comments are closed.